Radiografia dentară și cum se interpretează aceasta
Programează-te online la o consultație sau la telefon 0748 358 358
Programează-te onlineCe este radiografia dentară?
Radiografia dentară este o examinare cu raze X bidimensională (2-D) sau o scanare digitală a cavității bucale, rezultatul fiind o reprezentare sub forma unei imagini plane a danturii, a oaselor maxilarului, dar și a țesuturilor moi.
O radiografie este o investigație neinvazivă care ajută medicii stomatologi să pună un diagnostic precis și să trateze afecțiunile dentare. Imagistica cu raze X implică expunerea unei părți a corpului la o doză mică de radiații ionizante, care nu pun în pericol sănătatea organismului.
Rolul și necesitatea radiografiei dentare
Radiografia dentară are un rol dublu. Pe de-o parte, radiografia oferă răspunsuri la întrebările pe care medicii stomatologi le au atunci când simpla consultație nu scoate la iveală toate problemele dentare ale pacientului. Fără semne evidente la nivelul danturii sau al gingiei, stomatologul are nevoie de instrumente suplimentare pentru a ajunge la o concluzie.
Cu ajutorul unei radiografii, medicul poate determina natura unei intervenții asupra danturii și chiar un întreg plan de tratament.
Pe de altă parte, radiografia are rol de prevenție, prin faptul că afecțiunile pot fi detectate din timp, pentru a li se aplica tratamentul potrivit. Medicul stomatolog are nevoie de o radiografie cât mai precisă, pentru a descoperi carii dentare sau alte structuri invizibile la suprafața măselelor, măsele de minte în fază incipientă, pierderi osoase sau orice alte afecțiuni care nu pot fi observate cu ochiul liber.
Cum se realizează o radiografie dentară?
Razele X sunt o formă de radiație electromagnetică, precum lumina sau undele radio. Ele au proprietatea că pot penetra țesuturile organismului, oferind în final o imagine pe filmul fotografic sau un detector special.
Majoritatea imaginilor cu raze X pot fi stocate în fișiere digitale. Aceste imagini stocate sunt ușor de accesat de către medicul stomatolog pentru diagnostic și gestionarea afecțiunii dentare. Formatul digital permite, de asemenea, medicului să regleze și să schimbe contrastul și luminozitatea pentru o mai bună vizualizare a anumitor structuri și țesuturi.

Unele dintre țesuturile scanate sunt mai dure, iar altele mai moi, fapt ce se transpune direct pe radiografie prin zone mai deschise sau mai închise.
De exemplu, oasele sau structurile dentare apar mai deschise pe imaginea radiologică în timp ce țesuturile moi precum limba, gingia sau mucoasa obrajilor apar sub formă de umbre mai greu de observat.
Interpretarea radiografiei dentare
După realizarea radiografiei, medicul stomatolog va trece la interpretarea radiografiei dentare pentru diagnosticare:
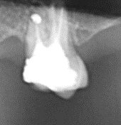
- Albul puternic de pe radiografie poate reprezenta o obturație (plombă), un pivot corono-radicular, un implant, chiar și suprapunerea a doi sau mai mulți dinți
- Negrul profund poate reprezenta un defect de structură dură (reprezentat de os sau dinte) sau chiar lipsa lui.
Interpretarea afecțiunilor patologice pe radiografia dentară
Caria dentară este reprezentată pe radiografie de o zonă gri spre negru prezentă pe suprafața dintelui. De asemenea, cariile pot ataca și dinți cu lucrări protetice chiar la joncțiunea dintre substanța naturală ș proteză.



Infecțiile de la vârfurile rădăcinilor sunt reprezentate de zone în principal rotunde gri sau negre. Dacă aceste zone sunt mai mari și mai bine conturate, atunci diagnosticul se îndreaptă către un chist sau un granulom apical.

Resorbțiile osoase sunt reprezentate de coborârea sau urcarea liniei de os sub linia normală (limita dintre coroana dentară naturală și rădăcină), lăsând zone de rădăcină descoperite și înconjurate de suprafețe negre.


Chistul sau granulomul de mari dimensiuni apare ca o zonă gri intens spre negru care are o rădăcină de dinte ca punct de plecare după care se întinde în zonă; nu trebuie confundat cu zona nasului, sinusurile maxilare sau găurile mentoniere inferioare, care sunt formațiuni normale.

Caninii sau molarii de minte apar pe radiografia panoramică, deși nu sunt observabili în cavitatea bucală. Aceștia sunt complet sau parțial sub os și, de cele mai multe ori, sunt înclinați puternic față de ceilalți dinți.

Radiografia dentară poate evidenția, de asemenea, problemele la nivelul implanturilor dentare, care apar ca zone gri intens în jurul implantului.
Tipuri de radiografii dentare
Există mai multe tipuri de radiografii dentare, radiografia digitală câștigând tot mai multe teren în dauna radiografiei dentare clasice. Un studiu publicat de NIH, agenția de cercetare medicală a guvernului american, arată că 90% dintre medicii dentiști din Belgia folosesc tehnica imagistică digitală.
Cu ajutorul celor mai moderne tehnologii, medicul stomatolog are acum posibilitatea de a viziona pe monitorul computerului dantura, maxilarele și țesuturile noi, pentru o analiză mai amănunțită și cu un grad mai mare de precizie. Pentru pacient, cel mai mare avantaj al radiografiei digitale este durata nu mai lungă de cinci minute a întregii operațiuni.
Principalele tipuri de radiografii:
- Radiografie dentară retroalveolară evidențiază dintele în toată dimensiunea lui. Astfel sunt vizibile coroana, rădăcina și chiar osul în care este aceasta înfiptă
- Radiografie dentară panoramică vizează ambele arcade dentare, precum și sinusurile maxilare sau canalele mandibulare. Procedura implică echiparea pacientului cu o salopetă de protecție din plumb și așezarea în dreptul aparatului.
- Radiografie dentară ocluzală vizează întreaga arcadă dentară, împreună cu maxilarul superior și mandibula. Utilitatea acestei radiografii constă în detectarea dinților crescuți în plus, a dinților care încă nu au erupt, dar și a fracturilor osoase sau a obiectelor străine, în cazul în care pacientul se prezintă la cabinet în urma unei traume.
- Radiografie dentară bite-wing este o expunere cu înregistrare intraorală. Particularitatea acestui tip de radiografie dentară vine din solicitarea ca pacientul să-și încleșteze dinții pe un dispozitiv care conține un mic film radiologic. Astfel, coroanele dentare ale dinților posteriori din maxilarul superior și din cel inferior pot fi vizibile pe aceeași radiografie, iar dinții sunt reprezentați fără a fi suprapuși.

