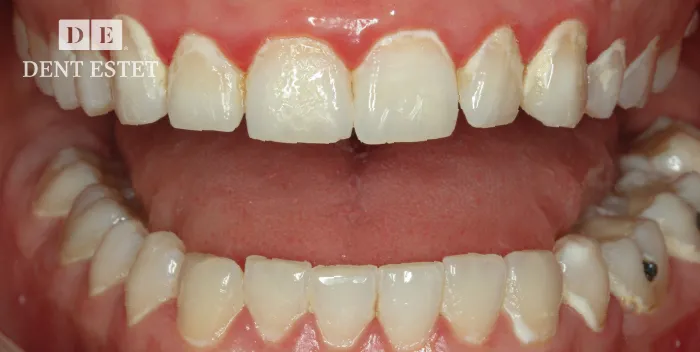
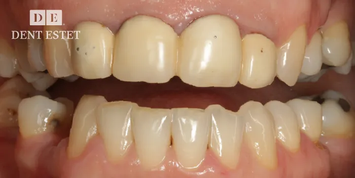
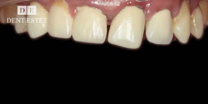
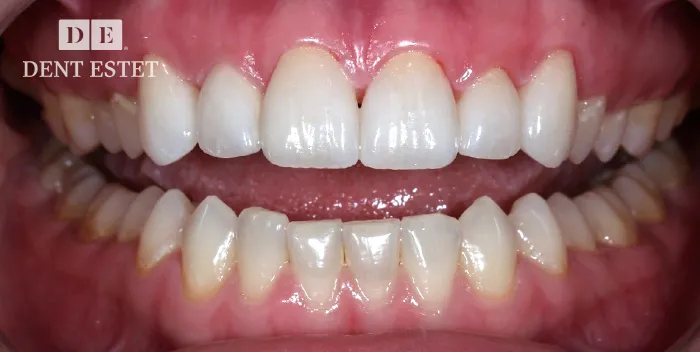
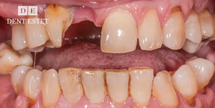
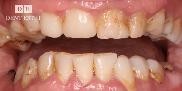
Pacient Ion A.
vârstă
Echipa medicală:
Dr. Dan Boariu - Medic coordonator și protetician
Dr. Raluca Drăgan - Medic parodontolog
Dr. Silviu Radu - Medic endodont
Dr. Cristina Talpoș - Medic ortodont
Echipa de tehnicieni dentari ASPEN:
Th. Răzvan Tomoială - Expert artizan ceramist
Th. Vladimir Miron - Structură

