Ortodonția Digitală de performanță poartă acum un nume

La DENT ESTET, de 23 de ani, facem performanță în ortodonție.
Aproape de tehnologie și permanent cu gândul la sănătatea sustenabilă, cultivăm aici o nouă filozofie a prevenției, o nouă abordare a educației și relației cu sănătatea zâmbetului tău.
Apropie-te, descoperă și înțelege ce este bine pentru zâmbetul tău de la specialiștii noștri.



Specializare pe vârste
La DENT ESTET avem medici specializați pe categorii de vârstă, pentru ca rezultatele să fie mereu excelente. Aparatele dentare sunt recomandate copiilor, adolescenților și adulților care își doresc un zâmbet estetic și sănătos. Echipa de experți Ortho Digital DE Team este pregătită să ofere planuri de tratament complet personalizate pe grupe de vârstă. Datorită noilor tehnologii în ortodonție, opțiunile de tratament sunt nelimitate, iar specialiștii noștri îți vor fi alături în alegerea celei mai bune soluții.
Fiecare pacient este unic
Suntem o echipă și împărtășim constant din expertiza și experiența acumulate. Fiecare pacient este unic și beneficiază de o comisie medicală de experți în stabilirea diagnosticului și a planului de tratament. De aceea, îți oferim de fiecare dată cea mai potrivită soluție și un motiv în plus să zâmbești.
Tehnologie digitală integrată
Viitorul stomatologiei este digital, iar la DENT ESTET vei descoperi echipa medicală ce înnobilează tehnologia. Măiestria medicilor noștri se îmbină perfect cu ultimele inovații în ortodonție. Folosind scannerul digital MODJAW și alte tehnologii aflate în avangarda stomatologiei 4D pentru a putea oferi pacienților experiențe noi și zâmbetul visat.
Performanță
Transformăm și îmbunătățim vieți, nu doar zâmbete, de 23 de ani. Suntem mândri că am creat o echipă de specialiști cu vastă experiență în Ortodonție și Ortopedie dento-facială, dornici de a reda bucuria pe chipul fiecărui pacient.
Soluții financiare
Am creat un pachet de soluții financiare flexibile pentru ca fiecare pacient să aibă acces imediat la tratamente ortodontice performante. La DENT ESTET, achitarea planului de tratament se poate face și în rate. Toate informațiile privind opțiunile financiare sunt comunicate transparent pentru ca tu să iei cea mai bună decizie în ceea ce privește sănătatea ta orală.
Hai să privim ortodonția altfel
Se spune că dacă ai o relație apropiată cu ortodonția, cu prevenția în general, nu o să mai ai nevoie de nicio altă intervenție stomatologică pe durata vieții.
Ortodonția este înainte de toate sănătate. Sănătatea cu care impresionezi și sănătatea pe care o simți. Sănătatea locală dar și extinsă la nivelul întregului corp.
Am discutat cu medicii noștri și am aflat ce trebuie să știi și ce percepții trebuie să schimbi despre prevenție, tratamentele ortodontice și, în general, despre o relație sănătoasă cu dantura ta. Haideți să demitizăm obiceiurile proaste, să învățăm de la specialiști și să schimbăm viitorul nostru și al copiilor noștri.
Descoperă clinicile DENT ESTET
ORTHO Digital Technology
Rezultatele apar când aducem împreună experiența medicilor noștri și precizia ultimelor tehnologii. Pentru că nu putem vorbi astăzi despre ortodonție de performanță fără tehnologii digitale.
Tehnologia MODJAW™ 4D
Tehnologia digitală MODJAW™ 4D scanează dinamica aparatului dento-maxilar în timp real, fără a utiliza raze X, și are aplicabilitate în diagnosticarea și realizarea tratamentelor protetice și ortodontice.
Vezi mai multeScanner-ul intraoral digital Trios 3Shape© Real Color
Ne permite să obținem o imagine 3D, reală, instantanee, în culori reale, foto realistice a dinților, gingiilor și cavității bucale ale pacientului.
Scanner-ul iTero și software-ul ClinCheck
Personalizat pentru zâmbetul tău unic
Nimic nu e la ghici atunci când folosim iTero și software-ul ClinCheck. Doctorul tău poate folosi simulatorul nostru pentru a găsi drumul către zâmbetul tău, de la cel mai mic detaliu și până la aligner-ul perfect.
Puterea 3D-ului
Interfața vizuală 3D permite medicului tău să-ți personalizeze tratamentul.
Software de mapare
Algoritmul ajută la calcularea forței pentru fiecare mișcare a dintelui.
Consistent
Software-ul, ajutat de contribuția medicului, se asigură de faptul că fiecare dinte se mișcă în ordinea potrivită și la momentul potrivit.
Centru de radiologie digitală
Toată imagistica necesară investigațiilor radiologice într-un singur loc, în toate cele 8 centre de radiologie digitală DENT ESTET. Timp minim petrecut și investigații complet nedureroase, cu rezultate imediate.
Future Smile Studio
Future Smile Studio este începutul călătoriei spre zâmbetul perfect pe care îl visezi. În toate cele 9 centre folosim fotografii digitale de diagnostic pentru a proiecta un plan de tratament eficient și corect.
Despre Ortodonție
Ortodonția este o ramură a stomatologiei moderne care se ocupă de prevenția, diagnosticarea și tratarea anumitor afecțiuni și anomalii dentare și ale oaselor faciale, cu ajutorul aparatelor dentare.
Tipuri de afecțiuni ortodontice ce pot fi tratate cu aparate dentare:
Dinți înghesuiți
Malocluzia - alinierea incorectă a dinților pe arcadă și a maxilarelor în zona de contact (mușcătură)
Dinți cu spații foarte mari între ei
Aducerea pe arcadă a unor dinţi definitivi blocaţi în os
Închiderea spaţiilor postextracționale pentru a evita realizarea unei lucrări dentare
Diastema/trema („strungăreaţa”), spaţiul dintre cei doi dinţi frontali centrali
Dinţii rotiţi faţă de axul lor normal
Dinţii situaţi prea în faţă sau prea în spate faţă de poziţia lor normală pe arcada dentară
Ce este aparatul dentar?
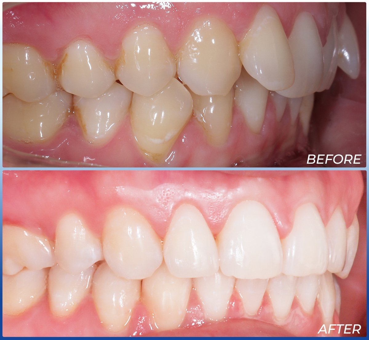
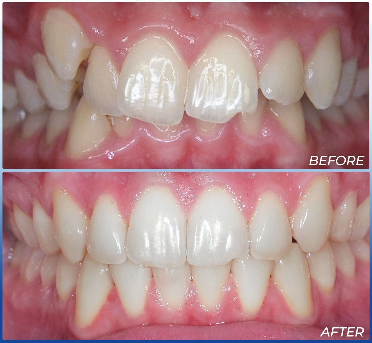
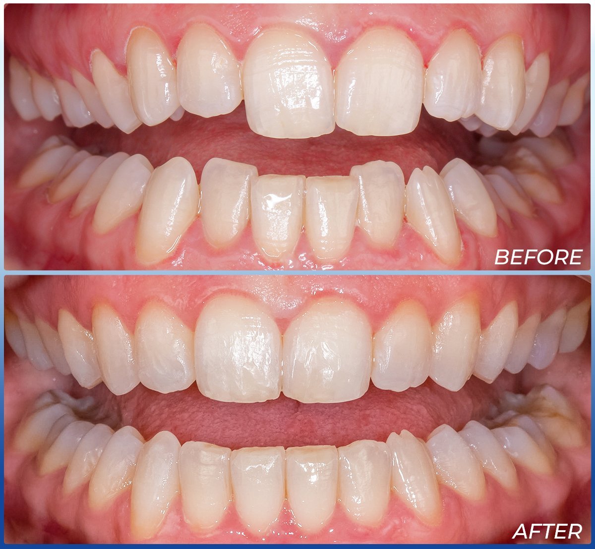
Aparatul dentar corectează anomaliile dento-maxilare care apar pe arcadele dentare cu dinți definitivi. Purtarea lui reprezintă, în primul rând, rezolvarea unei nevoi funcționale și apoi estetice. Rolul lui este acela de a ajuta la repoziţionarea dinţilor definitivi, pentru ca tu să obţii nu doar un zâmbet frumos, ci şi unul sănătos. Este cunoscut faptul că dinţii aliniaţi se igienizează mult mai uşor, nu favorizează apariția cariilor dentare şi nu se pot fractura din cauza poziţiei necorespunzătoare.
Tratamentul ortodontic cu aparat dentar ajută nu doar la îmbunătățirea funcționalității zâmbetului, ci se poate observa încă din primele săptămâni impactul pe care acesta îl are asupra aspectului general al feței, redându-i simetria și estetica.
Tratamentul ortodontic cu aparat fix este recomandat pentru a corecta poziția dinților pe fiecare arcadă sau problemele de ocluzie (mușcătură), exercitând asupra dinților o forță care duce în timp la alinierea lor.
Brackeții metalici se adresează și afecțiunilor severe, fiind foarte eficiente în tratarea acestora și obținând la finalul tratamentului rezultatele scontate. Un avantaj al acestui tip de aparat pe care mulți pacienți îl apreciază este costul mai redus, comparativ cu alte tipuri de aparate dentare. De asemenea, materialul din care este fabricat, în general oțel inoxidabil, este unul foarte rezistent și durabil. Atât brackeții ceramici, cât și cei de safir, sunt o categorie populară de brackeți, aceștia fiind mai estetici și mult mai puțin vizibili, în comparație cu cei metalici.
Brackeții ceramici sunt realizați dintr-un material care poate fi fabricat într-o multitudine de nuanțe, astfel încât să se potrivească cu culoarea naturală a dinților, făcând brackeții să pară aproape invizibili. Pe lângă avantajul estetic pe care aceștia îl prezintă, brackeții ceramici acumulează mai puțină placă bacteriană, sunt mai puțin alergenici și sunt compatibili cu testele tip RMN.
Brackeții de safir sunt fabricați dintr-un material transparent și au avantajul că nu suferă modificări de culoare pe parcursul tratamentului, știindu-se că aceștia nu absorb coloranții. Safirul este foarte rezistent, așa că probabilitatea fracturării brackeților este minimă.o
În anumite situații precum mușcătura inversă, îngustarea semnificativă a maxilarului, lipsa spațiului pentru erupția dinților definitivi, tratamentul ortodontic recomandat este cel prin intermediul disjunctorului. Aparatul este fix, se sprijină pe bolta palatină, astfel încât nu este vizibil din exterior. Preferate atât de părinți, cât și de copii, în locul aparatelor mobilizabile, acestea nu necesită ajustări periodice și sunt foarte bine tolerate de majoritatea pacienților.
Trainerul este un aparat funcțional asemănător unei gutiere ce are scopul de a inhiba obiceiurile vicioase și în acest fel de a promova dezvoltarea benefică a maxilarelor și a arcadelor dentare. Printre avantajele trainerelor se regăsește stimularea contracturii musculare, aspect ce asigură tonicitatea corectă a acestora. De asemenea, permite corectarea unor ușoare malpoziții dentare, uneori nemaifiind necesar un tratament ortodontic ulterior cu aparat fix sau mobil. Trainerul corectează obiceiurile vicioase precum respirația orală, interpunerea limbii, degetelor sau altor obiecte între arcade. Este redus riscul de apariție a cariilor și ușurează acomodarea copilului pentru purtarea unui alt tip de aparat ortodontic, în cazul în care acesta va fi necesar pe viitor.
Consultă tarifele pentru fiecare tip de aparat dentar
ORTHO Media
Știm că îți dorești să fii informat și, de aceea, îți oferim răspunsuri la toate întrebările pe care le ai. Suntem aici să explicăm de ce este recomandat să mergi la medicul ortodont de la vârsta de 7 ani, de ce mușcătura incorectă îți poate afecta statea generală de sănătate. Împreună vom demonta mituri, vom schimba percepții și ne vom asigura că luăm cele mai bune decizii pentru sănătatea noastră orală.
I-am invitat pe specialiștii noștri în Ortodonție și Ortopedie Dento-facială la un dialog pe canalul de YouTube DENT ESTET. Descoperă sfaturile lor cu privire la tratamentele ortodontice, la prevenție și întreținerea aparatelor dentare, pentru ca tu și cei dragi să aveți mereu un zâmbet sănătos.
New Patient Journey
Prima vizită în clinicile DENT ESTET este mai mult decât o consultație medicală, este o experiență concentrată pe sănătatea, starea de bine și dorințele pacientului. Orice călătorie către un zâmbet nou, sănătos și perfect aliniat începe cu o consultație de specialitate. Iată la ce trebuie să te aștepți la prima ta vizită la medicul specialist ortodont.
CONSULTAȚIA DE SPECIALITATE
În timpul consultației de specialitate, medicul ortodont va efectua o examinare amănunțită a feței, maxilarelor, dinților și gingiilor. Acesta va recomanda un set de investigații medicale (dosar ortodontic), ce conțin: fotografii digitale de diagnostic intraorale și extraorale, radiografii dentare și computer tomograf, după caz.
Totodată, acesta este momentul oportun pentru pacient să-și exprime așteptările și curiozitățile cu privire la tratamentul ortodontic.
ISTORICUL MEDICAL
Pe durata consultației de specialitate, medicul ortodont va discuta, împreună cu pacientul, istoricul medical personal, cu scopul de a obține o imagine amănunțită asupra stării generale de sănătate.
PLANUL DE TRATAMENT
Rezultatele investigațiilor medicale vor fi discutate și analizate în detaliu de Ortho Digital DE Team. În baza acestora, fiecare pacient primește un diagnostic corect și complet și beneficiază de un plan de tratament personalizat, adaptat nevoilor, dorințelor și stilului său de viață.
La DENT ESTET, ne dorim ca pacientul să fie parte integrantă a procesului de planificare a tratamentului ortodontic.
PROFILAXIE
Înainte de începerea oricărui tratament ortodontic, medicul va recomanda efectuarea EXCLUSIVE EMS Airflow® Prophylaxis Master - Tehnologie elvețiană: detartraj cu Piezon, tratamentul ghidat al plăcii bacterine.
APLICAREA APARATULUI DENTAR
Fiecare pacient este unic, iar soluțiile de tratament ortodontic sunt dintre cele mai diverse și răspund unor nevoi complexe. Medicul specialist ortodont este cel care recomandă tipul de aparat dentar potrivit, în funcție de complexitatea fiecărui caz.
Înainte de aplicarea aparatului dentar, medicul va realiza o scanare digitală intraorală – procedură simplă, rapidă și complet nedureroasă.
CONSULTAȚII PERIODICE
Respectarea vizitelor regulate la medicul specialist ortodont și menținerea unei igiene orale riguroase sunt esențiale pentru un tratament ortodontic de succes.

