Parodontologia – o ramură importantă a medicinei dentare
Parodontologia este o ramură deosebit de importantă a medicinei dentare. Aceasta se ocupă de afecțiunile gingivale și anume gingivita și parodontita. Mai exact, parodontologia este specializată în diagnosticarea și tratarea bolilor ce afectează gingia și țesuturile de susținere ale dintelui, atrăgând mereu atenția asupra a cât este de vitală o igienă dentară corectă.
Specialistul parodontolog va avea grijă să detecteze afecțiunile gingivale și pierderile osoase și să recomande un tratament adecvat în funcție de adâncimea pungilor parodontale și de complexitatea cazului.
În cadrul clinicilor DENT ESTET se utilizează echipamente de ultima generație (Laser diodă Biolase, Laser iPlus Waterlase, sonda Florida) pentru a obține stoparea evoluției afectțunilor parodontale, ajutând, astfel, pacientul să își mențină pe arcadă cât mai mult timp dinții naturali.
Cauzele apariției afecțiunilor parodontale:
În cavitatea orală trăiesc numeroase bacterii. Acestea, împreună cu alte substanțe din alimentația zilnică realizează o peliculă lipicioasă care se depune pe dinți și care formează placa bacteriană. Principala cauză a apariției bolii parodontale o reprezintă o igienă dentară necorespunzătoare care favorizează acumularea de placă bacteriană în exces pe dinți și sub gingii. Pentru a combate această peliculă bacteriană care se depune pe dinți în orice moment al zilei, organismul eliberează substanțe care duc la inflamarea și înroșirea gingiilor. Acesta este și primul semnal că există o problemă ce trebuie tratată cu ajutorul medicului stomatolog.
De aceea, practicarea unei igiene dentare corecte la domiciliu în fiecare zi, dimineața și îndeosebi seara, timp de minim 3 minute și utilizarea aței dentare, reprezintă cea mai ușoară formă de menținere a sănătății dentare și parodontale.
Cu toate acestea, prin periajul obișnuit nu putem îndepărta și tartrul, anume partea din placa bacteriană care s-a întărit și a rămas pe dinți. Tartrul poate fi curățat de pe dinți doar prin igienizarea profesională în cabinetul medicului dentist, prin detartraj și periaj profesional.
Vizita la cabinet pentru ședința de profilaxie periodică este recomandat să fie realizată o dată la fiecare 6 luni.
Primele semne de boală parodontală:
-
Respirație neplacută persistentă
-
Gingii roșii, inflamate sau care sângerează la periaj
-
Retragerea gingiei
-
Senzație de durere la mestecarea alimentelor
-
Dinți mobili sau sensibili
-
Pierderea dinților
Tipuri de afecțiuni parodontale:
Gingivita
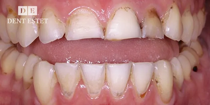
În stadiul inițial al bolii parodontale sunt afectate doar gingiile. Gingivita poate fi identificată de către fiecare pacient prin inflamarea gingiilor, înroșirea acestora și sângerările frecvente la periaj sau chiar spontane. Osul nu este încă afectat. În acest stadiu nu avem pierdere osoasă.
Tratamentul local al gingivitei presupune realizarea profilaxiei profesionale în cabinet (detartraj, airflow, periaj profesional) însoțită de o igienă orală zilnică la domiciliu adecvată: utilizarea tehnicilor corecte de periaj, folosirea aței dentare și a periuței interdentare, utilizarea dușului bucal, folosirea apei de gură etc.
Parodontita
În cazul în care gingivita nu este ținută sub control, placa bacteriană învinge sistemul de apărare local, conducând la retracția gingivală aproape completă și la descoperirea rădăcinii dintelui, favorizând mobilitatea dintelui și afectând integritatea osului.
În cazurile avansate de parodontoză, pentru a nu pierde dintele, sunt aplicate tratamente cu acțiune locală pentru sterilizarea pungilor parodontale, chirurgical sau cu ajutorul laserului dentar.
Pentru a stabiliza parodontal pacienții, sunt practicate o serie de manopere care includ surfasaje radiculare, aplicarea de substanțe cu proprietăți antibacteriene și tratamente cu acțiune locală pentru sterilizarea pungilor parodontale, realizate atât clasic, cât și folosind laserul dentar. În stadiile avansate, se realizează proceduri chirurgicale de reducere a pungilor parodontale rămase în urma terapiei inițiale, proceduri ce includ utilizarea de biomateriale cu potențial regenerator pentru structurile osoase și de susținere a dintelui.
Cum este stabilit diagnosticul:
- Pentru stabilirea diagnosticului și a stadiului de evoluție al afecțiunii parodontale este necesară vizita la medicul stomatolog specialist in Parodontologie. Acesta va coordona cazul și se va asigura de acuratețea diagnosticului prin:
- Examenul clinic al țesuturilor moi și dure și marcarea zonelor care sunt inflamate
- Examinări paraclinice (radiografii panoramice, bilanț radiologic, computer tomograf CBCT)
- Măsurarea pungilor parodontale realizată clasic sau cu ajutorul tehnologiilor digitale (sonda Florida)
- Parcurgerea istoricului medical împreună cu pacientul, a obiceiurilor vicioase (fumatul) și de igienă dentară zilnică, a tratamentelor dentare anterioare, a afecțiunilor generale etc.
- Realizarea anumitor investigații sau analize de sânge necesare pentru completarea tabloului clinic
Academia Americană de Parodontologie recomandă ca toți pacienții adulți să realizeze anual o evaluare a sănătății parodontale care include:
- Examinarea completă a dinților, gingiilor și a țesuturilor moi
- Nivelul de tartru
- Mușcătura (ocluzia)
- Substratul osos
Avantajul laserului în tratamentul parodontal
• Minim invaziv
• Nedureros
• Eficient
• Intervenții rapide
• Nu afectează integritatea țesuturilor sănătoase
• Decontaminează pungile parodontale
• Realizează o biostimulare gingivală
• Scurtează numărul de vizite ale pacientului la cabinet
Stomatologia laser asigură tratamentul nedureros și eficient al parodontozei, scurtând numărul de vizite ale pacientului la cabinet și îmbunătățindu-i calitatea vieții chiar de la primele ședințe.
Protejarea sănătății orale trebuie să facă parte din rutina noastră zilnică. În cazul în care te confrunți cu afecțiuni gingivale sau suspectezi apariția unora, te așteptăm în unul dintre Departamentele noastre de parodontologie din București, Sibiu sau Timișoara.

