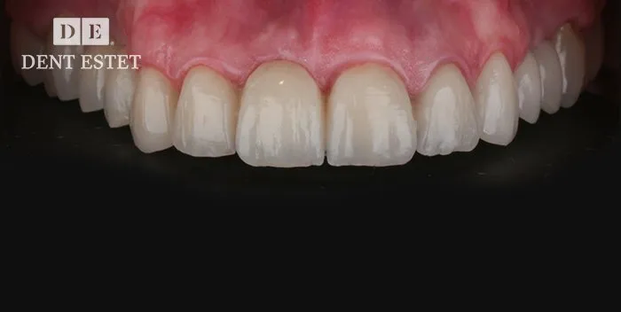
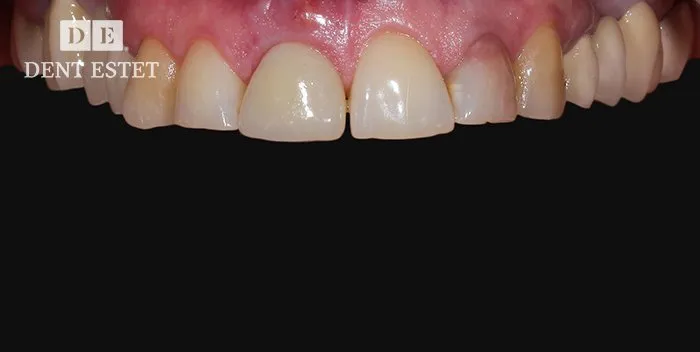
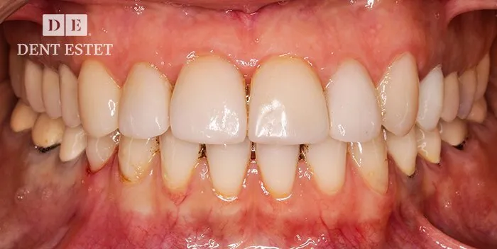
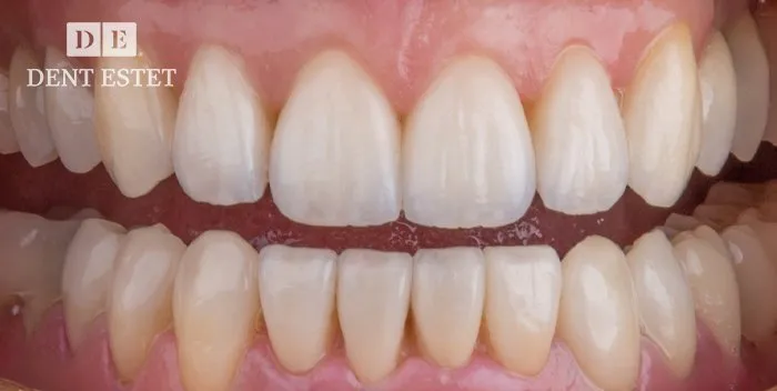
Pacient Vasile N.
vârstă
Echipa medicală:
Dr. Mirela Gândilă - Medic protetician și coordonator al cazului
Dr. Silviu Radu - Medic endodont
Dr. Ștefan Pavel - Medic implantolog
Echipa de tehnicieni dentari ASPEN:
Th. Răzvan Tomoială - Expert artizan ceramist
Vezi mai multe

