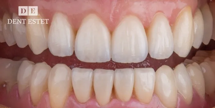
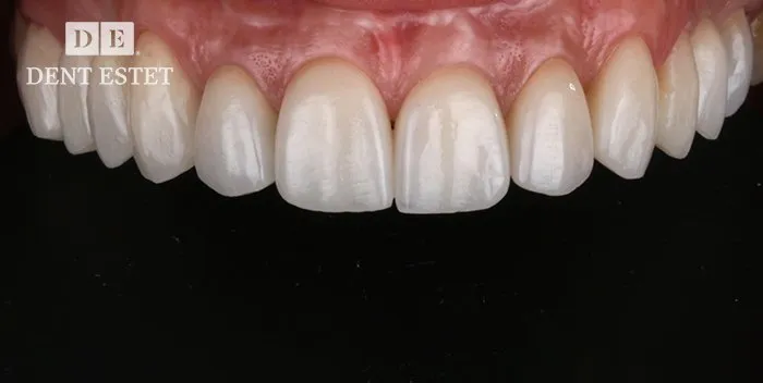
Pacient A.G.
vârstă
Echipa medicală:
Dr. Alina Sîrbu - Medic protetician și coordonator al cazului
Dr. Vasile Brănici - Medic endodont și implantolog
Echipa de tehnicieni dentari ASPEN:
Th. Pavel Ciulin - Expert artizan ceramist
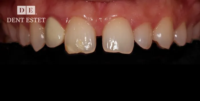
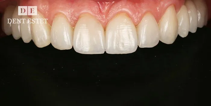
Vezi mai multePacient A.G.
vârstă
Echipa medicală:
Dr. Alina Sîrbu - Medic protetician și coordonator al cazului
Dr. Vasile Brănici - Medic endodont și implantolog
Echipa de tehnicieni dentari ASPEN:
Th. Pavel Ciulin - Expert artizan ceramist
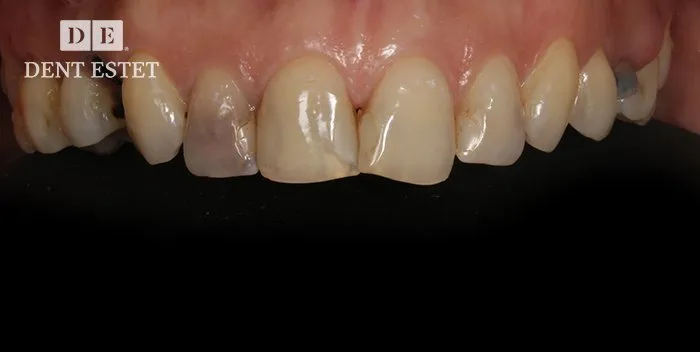
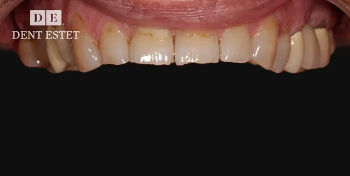
Vezi mai multePacient D.M.
vârstă
Echipa medicală:
Dr. Ana Maria Drăgoi - Medic protetician și coordonator al cazului
Dr. Dan Ștefan Niculescu - Medic implantolog
Echipa de tehnicieni dentari ASPEN:
Th. Pavel Ciulin - Expert artizan ceramist
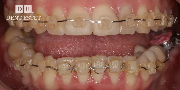
Vezi mai multePacient Andreea S.
vârstă
Echipa medicală:
Dr. Dan Ștefan Niculescu - Medic protetician și coordonator al cazului
Dr. Vasile Brănici - Medic endodont
Echipa de tehnicieni dentari ASPEN:
Th. Corneliu Sohoreanu - Structura
Th. Răzvan Tomoială - Expert artizan ceramist
Pacient Ramona Ș.
vârstă
Echipa medicală:
Dr. Dana Georgescu - Medic protetician și coordonator al cazului
Dr. George Zamfir - Medic endodont
Dr. Vlad Platon - Medic endodont
Echipa de tehnicieni dentari ASPEN:
Th. Răzvan Tomoială - Expert artizan ceramist
Vezi mai multePacient Marcel M.
vârstă
Echipa medicală:
Dr. Andreea Papuc - Medic protetician și coordonator al cazului
Dr. Alice Gavrilescu - Medic implantolog
Dr. Iana Dilă - Medic ortodont
Dr. Erika Vasilescu - Medic endodont
Echipa de tehnicieni dentari ASPEN:
Th. Răzvan Tomoială - Expert artizan ceramist
Th. Corneliu Sohoreanu - Structura
Pacient Amalia T.
vârstă
Echipa medicală:
Dr. Alina Sîrbu - Medic protetician și coordonator al cazului
Dr. Erika Vasilescu - Medic endodont
Dr. Dan Ștefan Niculescu - Medic implantolog
Echipa de tehnicieni dentari ASPEN:
Th. Paul Cojocaru - Expert CAD-CAM
Th. Răzvan Tomoială - Expert artizan ceramist
Pacient Maria P.
vârstă
Echipa medicală:
Dr. Ana Maria Drăgoi - Medic protetician și coordonator al cazului
Dr. Vasile Brănici - Medic implantolog
Echipa de tehnicieni dentari ASPEN:
Th. Pavel Ciulin - Expert artizan ceramist
Vezi mai multePacient Ioana I.
vârstă
Echipa medicală:
Dr. Cristian Csapo - Martinescu - Medic protetician și coordonator al cazului
Dr. Iulian Gemănaru - Medic endodont
Echipa de tehnicieni dentari ASPEN:
Th. Pavel Ciulin - Expert artizan ceramist
Vezi mai multePacient L. Ana
vârstă
Echipa medicală:
Dr. Cosmin Anițoiu - Medic protetician
Echipa de tehnicieni dentari ASPEN:
Th. Pavel Ciulin - Expert artizan ceramist
Vezi mai multePacient G.M.
vârstă
Echipa medicală:
Dr. Ana Maria Drăgoi - Medic protetician și coordonator al cazului
Dr. Teodorina Secară - Medic ortodont
Echipa de tehnicieni dentari ASPEN:
Th. Pavel Ciulin - Expert artizan ceramist
Vezi mai multe