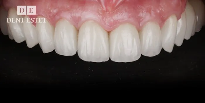
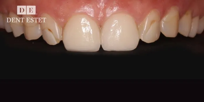
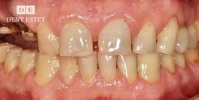
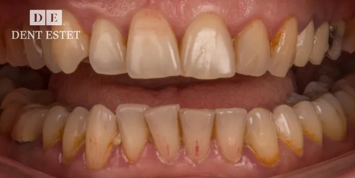
Pacient Felicia P.
vârstă
Echipa medicală:
Dr. Cristina Păcurar - Medic protetician și coordonator al cazului
Dr. Cristian Csapo - Martinescu - Medic implantolog
Dr. Vlad Platon - Medic endodont
Echipa de tehnicieni dentari ASPEN:
Th. Răzvan Tomoială - Expert artizan ceramist
Th. Paul Cojocaru - Structură

