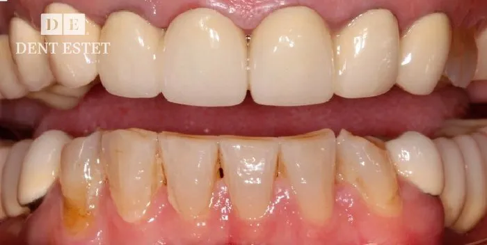
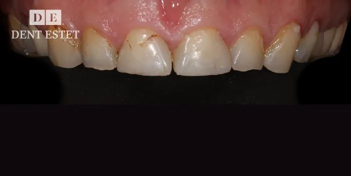
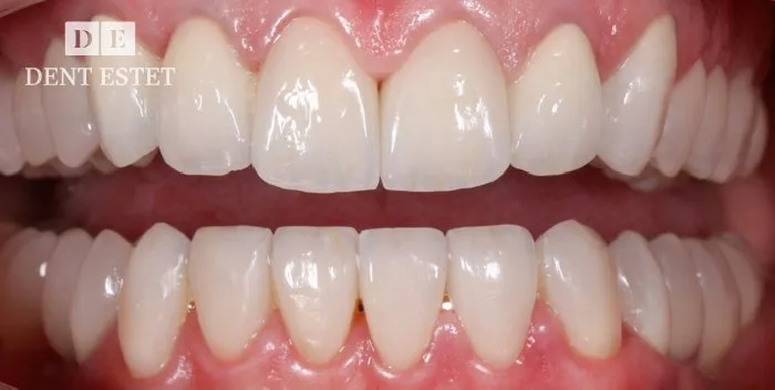
Pacient Gabriela C.
vârstă
Echipa medicală:
Dr. Dana Georgescu - Medic protetician și coordonator al cazului
Dr. Vasile Brănici - Medic implantolog
Echipa de tehnicieni dentari ASPEN:
Th. Răzvan Tomoială - Expert artizan ceramist
Vezi mai multe

